牙齿问题说大不大,说小不小,不过有的时候疼起来是真的要人命,而有时候它并不能直接危害人体的健康,所以有些人也一再忽视口腔健康,不过近些年越来越多人也开始注重口腔健康问题,所以大家对于口腔医院也开始注重了起来,很多朋友都想了解宿州信美口腔医院(淮海中路)怎么样,这家医院目前在本地的口碑还是错的,不过很多人对于该院的资质却不是很了解,下面针对这一情况,我们就简单的介绍一下宿州信美口腔医院(淮海中路)怎么样?好让大家做选择的时候能有一个参考。

宿州信美口腔医院(淮海中路)成立的时间比较早,是于2012年成立的,其地址位于宿州两淮新城c3区,是一家备受当地人民认可的一家口腔专科医院,近几年来医院不断的引进较良好的设备能够为口腔患者提供专业的口腔诊疗服务.除此之外,医院还致力于提高服务,希望通过微不至的服务能让来访者满意而归。

从小到大我都不太注重牙齿健康问题,不仅不经常刷牙,而且还会拿牙齿咬一些比较坚硬的东西,比如我会经常拿牙齿来开酒瓶。在某次开酒瓶的过程当中牙齿突然破裂,侧面牙齿直接损坏了一棵。牙齿缺失以后,说话吃饭都造成了极大的影响,有时候说话还会漏风,对此我较为的烦恼。

后来在朋友的介绍下,我来到宿州信美口腔医院(淮海中路)做面诊,医生说现在医疗科技较为发达,种植牙既可以解决这一问题,而且他建议我种植牙做的越早越好,如果做太晚的话牙龈萎缩,往后再想做种植牙就会比较麻烦。况且牙齿缺失以后,会对人体的健康造成巨大的影响,人体本身就是一个比较复杂的机制,如果牙齿出现了问题,就会影响肠胃等。综合考虑后,我决定接受医生的建议,做种植牙。

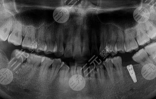
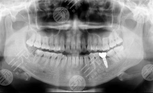
种植牙主要分为两大部分,第1个则是牙根的植入,牙根采用的是和人体骨骼能相容的钛合金,所以植入以后不会产生任何的排斥反应,而牙冠则采用和牙齿坚硬程度差不多的合规材料来做。整个过程并不是一蹴而就的,前前后后我也去医院多次,每次去都能感觉到这里医生护士的用心,这消除了我看牙的恐惧。

种植牙虽然前后要进行多次操作,不过每次操作时间并不长,在植入牙冠之时仅用了半个小时就好了,而植入牙冠是在麻醉的状态下进行的,所以看牙的时候也没有明X的痛感,对此我较为的满意。两个月以后,整个步骤都全部完成,而我也补上了此前缺失的牙齿,牙齿补上以后,我整个人都自信了许多,讲话不再漏风,咀嚼吃东西也更加的利索,对此我较为的满意。在这里要劝大家,如果牙齿有问题的话,一定要第一时间到专业机构去做诊疗,不要一拖再拖,这样会造成严重的后果。
以上关于【宿州信美口腔医院(淮海中路)怎么样?附种植牙的亲身体验分享】的内容只是一个大概,想了解更多整形知识、价格信息,可以点击 【在线咨询】一对一沟通