现在来说牙科医院虽然不是我们常用的医疗机构,但也是我们生活中不能缺少的,因为现在人们的口腔健康并没有得到重视,所以口腔疾病经常容易发作,因此现在人们对于口腔医院也是比较关注的,那么长春牙博士口腔医院正规吗?这个是近来长春的朋友咨询关于口腔医院的问题,牙博士口腔医院相信很多朋友都有听说过,这是一个口腔连锁医疗机构,在全国各地都是有分院的,而长春也是其中一家,至于这家医院的具体情况下面我们一起来看长春牙博士口腔医院正规吗?

长春牙博士口腔医院具体位置位于坐落在南侧大经路2239号,是当地很有知名度的一家正规口腔院所。该医院拥有专业的口腔诊治专家,医护人员多达数十名,所有的口腔手术医生都是口腔硕士以及本科学士学历,拥有着多层次的口腔治疗职称项目管理理念。不仅如此,长春牙博士口腔医院还引进了多台国外良好的综合型治疗仪器设备,能够开展各种类型的口腔种植,口腔矫正,牙齿美白,儿童牙齿修复等一系列的手术项目,已经成为了沈阳地区很有知名度的一家专业的口腔治疗机构,该医院秉承仁爱至上,和谐健康的口腔服务理念,致力于为广大长春人士和其他地区的口腔患者们提供性价比较高的口腔专业诊疗服务。

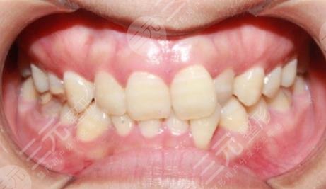
我的牙齿长期就存在着参差不齐的情况,有许多牙齿拥挤的问题,之前也考虑过做牙齿矫正,后来觉得自己在银行上班,每天要面对那么多的顾客,带一个牙套不美观,所以也就一直在耽搁。后来听说长春牙博士口腔医院可以做隐形牙套,所以我就来这里做了一个隐形牙套的手术项目。

在带牙套的过程中,医生是很小心谨慎的,起初为我拍了牙齿的CT片。根据我的牙齿情况,定制了一套牙套,之后每个月都要进行一次定期的检查,防止牙套出现任何的细菌问题,平时上班的时候带上这个隐形牙套,也不会特别明X,个人感觉就是这样,悄悄地就把牙齿给矫正过来了。在刚戴上牙套的前一个月,我是感觉到十分不舒适的,因为很不适应牙套的存在,还觉得有点疼痛,甚至连日常饮食都受到了影响,但是为了变美,只能够忍耐了。

现在我已经带了一年多了,医生说再带一段时间就可以取下来了。目前感觉这个牙套戴起来没有任何的不舒适感,牙齿比之前齐了很多,尤其是一笑起来和之前有太大的变化了。大家看现在已经是摘掉牙套之后的样子了,能够很明X的看到我的牙齿,改变了很多,看起来更加的整洁了,能够露出来十分标准的笑容,自己的业务能力也上升了不少。

以上关于【长春牙博士口腔医院正规吗?牙齿矫正怎么样?】的内容只是一个大概,想了解更多整形知识、价格信息,可以点击 【在线咨询】一对一沟通