透明质酸填充剂,由于它极高的生物相容性和可生物降解性,不良反应很小,目前已经广泛应用于面部年轻化治疗。然而,与透明质酸填充剂有关的并发症,如延迟性异物肉芽肿、迟发性超敏反应和坏死等也逐渐浮出水面。今天我们还是要来关注一下,玻尿酸迁移的案例。

关于玻尿酸迁移
玻尿酸迁移是指玻尿酸在远离注射点的位置上的存在。
这是一个严重的并发症。Jordan D.R.Stoica B.曾经报道了玻尿酸迁移的发病机制,并提出了几种机制:
注射技术相关的玻尿酸迁移(技术差,大容量注射,压力下注射)。
按摩,肌肉活动,重力或压力引起的位移,淋巴扩散和血管内注射。
我们曾给大家介绍过“额头和侧眉注射后,玻尿酸迁移入眼眶”的案例,今天我们这个案例同样也是玻尿酸迁移,只是今天是从鼻子迁移到额头。

案例详情
33岁女性患者,额头上出现了一个豆豆大小、肉色、柔软、可移动的皮下肿块,已经有3个月之久(见下图A)。16个月前,她在一家私人诊所的鼻子上注射了透明质酸填充剂(韩国)。她没有在额头上注射任何填充剂。

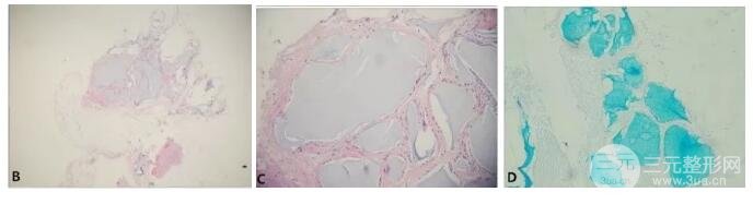
临床上,患者被评估为血管瘤或脂肪瘤,并在注射局部麻醉剂后进行了肿块的手术切除。组织病理学检查显示有不规则的、无定形的、浅灰色至蓝色的物质,从分散的胶原束中分离出来,下货源优质和皮下脂肪中有稀疏的炎性细胞浸润(见下图B、C)。Alcian蓝染色显示出不规则的物质(见下图D)。

可能的发生机制
由于透明质酸填充剂引起的异物反应可能发生在注射后的几个月甚至几年。因此,由于透明质酸填充剂的延迟异物反应是不容易诊断的。此外,远离填充注射部位的非炎症、柔软、皮下肿块也不会被视为与透明质酸填充剂有关的问题。

在本案患者鼻部注射填充剂后,先后出现了两个豆豆大小,肉色,柔软,皮下肿块在她的脸上,一个在前额和一个在眉毛上方。这种现象可以通过透明质酸填充剂的迁移来解释,它指的是透明质酸填充剂在远离原始注射点的位置上的存在。
填充物的迁移可通过多种机制发生,包括注射技术差(高容量、高压注射)、按摩、肌肉活动、重力、反重力、压力引起的移位、淋巴管扩张和血管内注射。

患者概况
健康的63岁女性,右前上眼眶有2个进展缓慢、可触及的肿块。右眼视力为6/6。
检查发现2个可见的疼痛感较轻肿块,位于眶上外侧缘和上睑轻度上睑下垂。眼外运动、视神经功能、Hertel突眼计量学均无异常。
经进一步询问,患者回忆起一年前,她曾在一家私人诊所在额头和外侧眶上缘注射了玻尿酸。
患者否认了在眼睑部位注射任何填充剂,并且也不记得额部和眉外侧注射了哪种品牌的填充剂。
高频超声扫描发现右眉毛和上睑皮下有低回声肿块,没有肌肉受累或多普勒血流(显示纤维组织)。
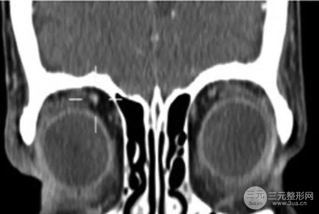
眼眶CT扫描发现前上眼眶和上睑皮下组织内有一个平的、放射不透明的眼眶肿块(见下图)

医生处理过程
患者经眼睑折痕切口行右前眶切开术,对2块肿块行切除活检。
组织病理学检查发现弥漫性慢性炎症浸润主要由淋巴细胞、组织细胞和异物型巨细胞组成,无细胞蓝绿色颗粒物质周围形成非级联性肉芽肿。
这种物质用阿西恩蓝染色,证实它是由糖胺聚糖组成的。
看到这里,这肿块就是玻尿酸无疑了~

根据这些发现,肿块被诊断为注射玻尿酸填充剂的继发性异物反应。
患者不需要进一步的治疗,她在12个月的随访中保持稳定。
关于玻尿酸迁移的原因
玻尿酸迁移是指玻尿酸在远离注射点的位置上的存在。
这是一个严重的并发症。Jordan D.R.,Stoica B.曾经报道了玻尿酸迁移的发病机制,并提出了几种机制:
注射技术相关的玻尿酸迁移(技术差,大容量注射,压力下注射)

按摩,肌肉活动,重力或压力引起的位移,淋巴扩散和血管内注射。
本例患者在接受额头和侧眉注射后,玻尿酸迁移入眼眶,可能潜在的发生机制包括玻尿酸通过腱膜和眶间隔的迁移,通过重力面部肌肉运动。
本案例表明迁移的玻尿酸甚至可以穿透到眼眶内。

玻尿酸注射后的注意事项
注射透明质酸后,不要接触高温环境,也不要使用热敷,而是使用冰敷来消肿。一般来说,不建议在注射当天接触水,只在第二天接触水。注射透明质酸两周内,注射部位会感觉僵硬,然后逐渐软化。
注射透明质酸后不要使用抗凝剂,否则可能导致血肿或充血。注射透明质酸后,如果您感到不满意或有问题,可以注射透明质酸酶,也称为透明质酸酶,以适当溶解。
此外,注射透明质酸会引起轻微肿胀,这也是正常现象,所以不要惊慌。
以上关于【又见填充剂游走现象:该怎么避免玻尿酸注射后游走?】的内容只是一个大概,想了解更多整形知识、价格信息,可以点击 【在线咨询】一对一沟通