长沙中诺口腔医院是正规的吗?现在的爱美人士对于自己的要求越来越为严格了,除了自己的颜值之外,连牙齿都要保持整齐洁白,但毕竟不是每一个人牙齿都是整齐的,那么针对这样的情况很多人会去口腔医院做牙齿方面的美容治疗进行改善,其实并不是特别的困难,找一个正规的口腔医院来进行矫正就可以了。那么在长沙这个地方就有着较为多的口腔医院,可以提供给我们选择,这也就使得大家不知道该怎么去选择一个比较靠谱的医院进行改善,今天牙大叔就来给大家介绍一下长沙中诺口腔医院,下面就让我们一起来了解一下长沙中诺口腔医院是正规的吗?

这个机构是经过当地卫生部门批准后成立的一家拥有二级资质的口腔连锁专科医院,并且在当地拥有着较为不错的口碑,目前在全国各地都开展了较为多的分院。医院做使用的设备都是如果经上眼睛的较为良好的医疗设备,对于各种各样的口腔疑难杂症问题都能够很好带来进行改善,医护人员也是经过专业培训,有着高学历的医护人员,而且医院精神会派遣医生千万国内外知*医院进修学习的一些建议。医院在价格方面也是比较实惠的,而且经常会参加一些公益性的医疗活动来回馈社会,使得家医院的口碑越来越好。

易继恩医生是这家医院的种植牙科主任医生,他毕业于我国南华医*大学,拥有着较为不错的成就,并且他还参与了特别多的科研项目,为我国的的口腔医疗行业做出了较为大的贡献。

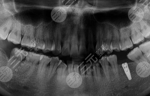
随着年龄的增长,我的牙齿再也没有办法像以前那么结实了,像我特别喜欢吃的大骨头,现在也不敢去啃了,因为之前就因为喜欢啃骨头而掉了一颗牙,之前还因为不听儿子的劝阻去吃酱大骨,导致自己的牙齿磕掉了一块呢,这样子真的是太难受了,并且后来因为这颗牙吃饭也受了很多的影响,后来在家人的劝说之下,我来到了这家医院,进行种植牙手术。

因为我的牙齿整体情况还行,就是有点松,然后医生先是给我的牙齿做了整体的检查,拍了片子确定能够进行种牙手术后,才为我进行了方案的设定,种牙前先对我的牙齿进行详细的情况,然后是种植体的安装,因为有麻醉所以没有什么感觉,但是能够感觉到在骨头上面做东西,安装好后要等2个月左右才会进行下一步的工作。

大家可以看一下,我进行完种植牙手术后的样子,是不是还是较为的不错的?看起来也很自然,较重要的是变得特别的坚固,像之前因为牙齿的问题,不敢吃的那些食物都可以吃了,又可以天天去吃我喜欢吃的大骨头了,心里面真的是特别的开心。

| 长沙中诺口腔医院种植牙价格表 | |
| 整形项目 | 价格参考 |
| 半口牙种植 | 50501-142401 |
| 单颗牙种植 | 11167-28751 |
| 多颗牙种植 | 27691-160297 |
| 后牙种植 | 17531-58223 |
| 前牙种植 | 9436-32728 |
| 全口牙种植 | 94547-217962 |
| 瑞士ITI种植牙/颗 | 8310-18460 |
| 美国3I种植牙/颗 | 8652-20211 |
| 德国费亚丹种植牙/颗 | 11092-16325 |
| 瑞典诺贝尔种植牙/颗 | 11549-19354 |
| 德国贝格种植牙/颗 | 9907-19137 |
| 美国百康种植牙/颗 | 8512-15921 |
| 瑞典诺贝尔种植/颗 | 11226-21236 |
| ITI瑞锆种植牙/颗 | 8102-15118 |
| 韩国奥齿泰种植牙/颗 | 6094-10460 |
| 韩国登特斯种植牙/颗 | 5052-10390 |
| 韩国美格真种植牙/颗 | 5067-18480 |
| 韩国登腾种植牙/颗 | 5023-10479 |
| 韩国dio种植牙/颗 | 5124-10375 |
| 德国ICX种植牙/颗 | 10022-19148 |
| 法国安多健种植/颗 | 11997-17481 |
| 进口种植牙/颗 | 9794-15503 |
| 国产种植牙 | 5802-12908 |
| 以上价格仅供参考,实际价格请到医院面诊获取! | |
以上关于【长沙中诺口腔医院是正规的吗?医院种植牙靠谱吗?附价格表】的内容只是一个大概,想了解更多整形知识、价格信息,可以点击 【在线咨询】一对一沟通